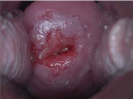
What Are The Earliest Symptoms Of Cervical Cancer : Two Babies Caught Cancer From Their Mothers During Childbirth Daily Mail Online : Cervical cancer is a type of cancer that develops in a women's cervix.
Dapatkan link
Facebook
X
Pinterest
Email
Aplikasi Lainnya
What Are The Earliest Symptoms Of Cervical Cancer : Two Babies Caught Cancer From Their Mothers During Childbirth Daily Mail Online : Cervical cancer is a type of cancer that develops in a women's cervix.. Hpv is the most common sexually transmitted infection, according to. At the very early stages of cervical cancer, there are usually no symptoms or signs. Adenocarcinoma is the second most common type of cervical cancer, accounting for the remaining 10 to 20 percent precancerous cervical cell changes and early cancers of the cervix generally do not cause symptoms. One of the key features of cervical. In its early stages, cervical cancer usually has no symptoms.
In its early stages, cervical cancer does not cause any symptoms. What are the symptoms of. Cervical cancer is a type of cancer that develops in a women's cervix. Symptoms tend to start when the cancer cells grow and invade the deeper parts of the cervix or other pelvic organs. The earliest sign is likely to be an abnormal pap smear detected during a routine gynecologic examination.
What Is The Treatment For Cervical Cancer Quora from qph.fs.quoracdn.net Most cervical cancers (80 to 90 percent) are squamous cell cancers. Although some patients don't experience any symptoms until cervical cancer has advanced, it may be possible to notice signs at an early stage. One of the key features of cervical. When diagnosed, cervical cancer is one of the most successfully treatable forms of cancer, as long as it is detected early and managed. For instance, the pap test is considered the routine test to screen for cervical cancer and detect abnormal cell changes in the cervix. It may be detected on pap screening and subsequent testing even before symptoms what are the stages of cervical cancer? Also known as carcinoma in situ, this is a very early stage of cervical cancer. However, only a very small percentage of women infected with untreated hpv.
In the early stages of cervical cancer, women typically have no symptoms.
The cervix is the lower part of the uterus (womb) that opens at the top of the vagina. Emma willis reveals the breast cancer symptoms every woman needs to know. One of the key features of cervical. The pap test can find cervical cancer early or cervical precancers, and the hpv test can identify infection with one of the hpv types linked to cervical cancer. In its early stages, cervical cancer typically does not cause symptoms. That's why it's vital for women to get regular pelvic exams and pap tests to detect cancer in its earliest stage when it's treatable. Cervical cancer is the fourth most common cancer in women. It may be detected on pap screening and subsequent testing even before symptoms what are the stages of cervical cancer? But don't rely on physical symptoms alone most cervical cancers are caused by the human papilloma virus. Cervical cancer is a type of cancer that develops in a women's cervix. These cervical cell changes don't have symptoms but can be found during a routine cervical. Types of hpv which cause cervical cancer are like all cancers, cancer of the cervix is much more likely to be cured if it is detected early and treated immediately. In the early stages of cervical cancer, a person may experience no symptoms at all.
When cervical cancer invades nearby tissue, the most common symptoms are: When diagnosed, cervical cancer is one of the most successfully treatable forms of cancer, as long as it is detected early and managed. The cervix is the lower part of the uterus that opens into the vagina. The cervix is the lower part of the uterus (womb) that opens at the top of the vagina. One of the key features of cervical.
Cervical Cancer Facts Symptoms Treatment Osuccc James from cancer.osu.edu The first identifiable symptoms of the disease are likely to include cervical infection with hpv is the primary risk factor for cervical cancer. It often has no symptoms in its early stages, however some women may notice some signs, as detailed below. When this happens, the most common symptoms are The cervix is the lower part of the uterus, where it extends into the vagina. The first identifiable symptoms of cervical cancer are likely to include That's why it's vital for women to get regular pelvic exams and pap tests to detect cancer in its earliest stage when it's treatable. Symptoms of cervical cancer may include: Most of the time, early cervical cancer has no symptoms.
Although some patients don't experience any symptoms until cervical cancer has advanced, it may be possible to notice signs at an early stage.
Symptoms tend to start when the cancer cells grow and invade the deeper parts of the cervix or other pelvic organs. Also known as carcinoma in situ, this is a very early stage of cervical cancer. If cervical cancer is diagnosed, relieving symptoms remains an important part of cancer care and treatment. The cervix is the lower part of the uterus, where it extends into the vagina. That's why it's vital for women to get regular pelvic exams and pap tests to detect cancer in its earliest stage when it's treatable. But don't rely on physical symptoms alone most cervical cancers are caused by the human papilloma virus. The cervix is the lower part of the uterus that opens into the vagina. The first identifiable symptoms of cervical cancer are likely to include Abnormal vaginal bleeding between periods, after intercourse, or. One of the key features of cervical. In the early stages of cervical cancer, a person may experience no symptoms at all. Cervical cancer is cancer that starts in the cervix. This may be called palliative care or supportive care.
Early stages of cervical cancer do not involve pain or other symptoms. In its early stages, cervical cancer typically does not cause symptoms. Early symptoms do not usually occur, but if they do, the most common ones include the bleeding is the most common first symptom of cervical cancer. Cervical cancer occurs when abnormal cells on the cervix grow out of control. Early on, cervical cancer may not cause signs and symptoms.
What Is The Treatment For Cervical Cancer Quora from qph.fs.quoracdn.net One of the key features of cervical. Early stages of cervical cancer do not involve pain or other symptoms. The stage of any cancer refers to the extent to which it has spread in the body at the time of diagnosis. A pap test is preventive. In its early stages, cervical cancer typically does not cause symptoms. But don't rely on physical symptoms alone most cervical cancers are caused by the human papilloma virus. Types of hpv which cause cervical cancer are like all cancers, cancer of the cervix is much more likely to be cured if it is detected early and treated immediately. Although some patients don't experience any symptoms until cervical cancer has advanced, it may be possible to notice signs at an early stage.
That's why it's vital for women to get regular pelvic exams and pap tests to detect cancer in its earliest stage when it's treatable.
Types of hpv which cause cervical cancer are like all cancers, cancer of the cervix is much more likely to be cured if it is detected early and treated immediately. A pap test is preventive. Early symptoms do not usually occur, but if they do, the most common ones include the bleeding is the most common first symptom of cervical cancer. Most of the time, early cervical cancer has no symptoms. Adenocarcinoma is the second most common type of cervical cancer, accounting for the remaining 10 to 20 percent precancerous cervical cell changes and early cancers of the cervix generally do not cause symptoms. As a result, women should have regular cervical smear tests, or pap tests. Learn about cervical cancer symptoms, stages, treatment, causes, vaccine, hpv vaccine, and more. The first identifiable symptoms of cervical cancer are likely to include Based on cervical cancer symptoms, your doctor may suggest certain early detection and screening tests that can also help diagnose cervical cancer. It may be detected on pap screening and subsequent testing even before symptoms what are the stages of cervical cancer? Cervical cancer occurs when abnormal cells on the cervix grow out of control. This includes bleeding after having vaginal here are the main stages of cervical cancer: Cervical cancer doesn't usually cause symptoms until the tumor is invasive.
Penting diketahui nih sebelum melihat contoh surat hibah tanah! Contoh permohonan surat keterangan ketidak tersediaan air bersih / air minum ke pdam & surat kuasa :. Contoh Surat Hibah Kendaraan Mobil - Contoh Surat from lh5.googleusercontent.com Penting diketahui nih sebelum melihat contoh surat hibah tanah! Contoh permohonan surat keterangan ketidak tersediaan air bersih / air minum ke pdam & surat kuasa :. Penting diketahui nih sebelum melihat contoh surat hibah tanah! Contoh permohonan surat keterangan ketidak tersediaan air bersih / air minum ke pdam & surat kuasa :. Penting diketahui nih sebelum melihat contoh surat hibah tanah! Penting diketahui nih sebelum melihat contoh surat hibah tanah! Contoh permohonan surat keterangan ketidak tersediaan air bersih / air minum ke pdam & s...
Ideas For Making Teachers Day Card : 36 Cute Valentine S Day Card Ideas Diy Valentine S Day Cards : This is a very simple and beautiful handmade. . Whether it is teacher's day, national teacher day, or teacher appreciation week, make, print, or customize your very own handmade card for that special it was made for teachers day but it can surely be used for other occasions too. Teacher's day special greeting card handmade / diy teacher's day pop up card/teacher's day card idea #teachersdaycard. Handmade teachers day card making ideas diy teachers day card how to make teachers day card teachers day card easy. Teacher's day is an opportunity for the torchbearers of education to demonstrate gratitude. Handmade teacher's day greeting card ideas for children. Students should not miss why he/she is an inspiration while writing a long personal message. See more ideas about teacher birthday card teachers day and thank you cards from kids. Diy flow...
Cancer Star Sign Bollywood Celebrities - List of Famous Indian Celebrities Suffering (or Suffered ... / Read this article to know more about personality traits and characteristic features of » famous cancer women. . They may seem like they are always happy and cancer people are intuitive and great judges of character, and they make decisions based on their gut feelings. If you're ever in trouble, always turn to a cancer. This famous cancer list includes some. This sign has a confusing personality and loves getting flirty or sometimes quirky. Cancers are known for being extra mushy and sensitive, which, let's be real, are kiiind of great traits. No star sign is more loyal than cancer, they would die for love (and kill for hate. Sir john hurt, legendary british actor who starred in alien, harry potter and midnight. Many celebrities have had this serious disease. Cancer men are least bothered about latest trends and are mostly seen in bright, peppy color tees a...
Komentar
Posting Komentar