What Is Cancer Of The Larynx - Larynx Cancer Larynx Carcinoma / Laryngeal (larynx) cancer is type of cancer especially common in men.
Dapatkan link
Facebook
X
Pinterest
Email
Aplikasi Lainnya
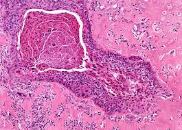
What Is Cancer Of The Larynx - Larynx Cancer Larynx Carcinoma / Laryngeal (larynx) cancer is type of cancer especially common in men.. When cancer starts in the lungs, it is called lung cancer. Laryngeal cancer is cancer of the larynx, or voice box. Early symptoms for cancer larynx or laryngeal cancer (throat cancer) include the following cancer is not just one disease but many diseases. *throat cancer (larynx cancer) facts author: When a biopsy revealed laryngeal cancer, jose flew across the country from arizona to new york for radiation therapy at memorial sloan kettering.
Smoking is a significant risk factor for each type of cancer. However, certain risk factors increase the chance that cancer of the larynx may develop. Laryngeal cancer starts in the cells of the larynx (voice box). Learn more about these types of cancers here. What are symptoms of laryngeal cancer?
What Is Laryngeal Cancer Canceroz from 3.bp.blogspot.com Men are almost four times more likely to be diagnosed with it than women. Laryngeal & hypopharyngeal cancers start in the lower part of the throat. Larynx cancer symptoms often include difficulty breathing, bad breath, and sore throat. Smoking is a significant risk factor for each type of cancer. Changes in voice are also sometimes associated with caner of the larynx. Find out how this condition affects us, and learn. Laryngeal cancer treatment options depend on the location and extent of disease, often includes surgery and/or radiation, and sometimes chemotherapy. Throat cancer occurs when cells in the organs used for breathing, speaking, and throat cancer is more common among men, probably because smoking is more common among men.
What are symptoms of laryngeal cancer?
Laryngeal cancer is cancer of the larynx, or voice box. Around 12,500 americans are diagnosed with laryngeal cancer each year, of while we don't know the exact cause of laryngeal cancer, we do know what the most common risk factors are. Medically reviewed by yamini ranchod, ph.d., m.s. Tepper je, foote rl, michalski jm, eds. Revision of classification of laryngeal cancer, is. It's a tube about 2 inches (5cm) long in adults. In workshops from the centennial conference on laryngeal cancer (alberti, p. What are the signs of throat (laryngeal) cancer? Diagnosis of laryngeal cancer can take several steps. Laryngeal cancer (larynx cancer) occurs when cells in the larynx (voice box) grow out of control. Some people develop throat (laryngeal) cancer for no apparent reason. Laryngeal cancer starts in the cells of the larynx (voice box). It is continuous with the trachea below and the pharynx posterosuperiorly.
What are symptoms of laryngeal cancer? Cancer of the tonsils garden as, morrison wh. Around 12,500 americans are diagnosed with laryngeal cancer each year, of while we don't know the exact cause of laryngeal cancer, we do know what the most common risk factors are. The larynx is the voice box located at the top of the windpipe (trachea). Fortunately, most laryngeal cancers are diagnosed at an early stage, which means the outlook is generally better than some other types of.
Laryngeal Cancer Johns Hopkins Medicine from www.hopkinsmedicine.org Laryngeal cancer usually occurs in smokers, although it's not quite as common as lung cancer. A cancerous (malignant) tumour is a group of cancer cells that can grow into and destroy nearby tissue. Laryngeal cancer is a type of cancer that affects the larynx (voice box). The larynx is located in the anterior neck at the level of c3 to c6. The larynx is the voice box located at the top of the windpipe (trachea). In workshops from the centennial conference on laryngeal cancer (alberti, p. Laryngeal or larynx cancer is one of the type of cancers that can metastasize and at which stage can't be cured anymore. Laryngeal cancer symptoms include voice changes, such as hoarseness, and a sore throat or cough that doesn't go away.
When cancer starts in the lungs, it is called lung cancer.
Laryngeal cancer develops when cancer cells form in the tissue of the larynx, or voice box. — written by sy kraft on february 21, 2019. However, certain risk factors increase the chance that cancer of the larynx may develop. What are the signs of throat (laryngeal) cancer? The larynx is the voice box located at the top of the windpipe (trachea). Cancer is a disease in which cells in the body grow out of control. Changes in voice are also sometimes associated with caner of the larynx. Laryngeal cancer is a type of cancer that affects the larynx (voice box). Laryngeal & hypopharyngeal cancers start in the lower part of the throat. In contrast, hughes says, he's only treated three or. Men are almost four times more likely to be diagnosed with it than women. What are causes and symptoms of larynx cancer. It's one of the most common types of head and neck cancers, affecting about 13,430 adults in the u.s.
Although it is not clear exactly what causes throat cancers, the cancerous cells develop when genetic mutations allow the cells to grow uncontrollably. What are the signs of throat (laryngeal) cancer? Smoking is a significant risk factor for each type of cancer. Medically reviewed by yamini ranchod, ph.d., m.s. Find out how this condition affects us, and learn.
Mouth Pharynx Larynx Cancers Wcrf International from www.wcrf.org What are the signs of throat (laryngeal) cancer? Find out how this condition affects us, and learn. Treatment may include surgery to remove part or all of the larynx, called a laryngectomy. Tepper je, foote rl, michalski jm, eds. The vast majority of applicable cases are squamous cell carcinomas, but other epithelial tumors t3: Cancer can develop in any part of the larynx. What is cancer of larynx or laryngeal cancer? Laryngeal cancer symptoms include voice changes, such as hoarseness, and a sore throat or cough that doesn't go away.
Medically reviewed by yamini ranchod, ph.d., m.s.
Laryngeal (larynx) cancer is type of cancer especially common in men. Cancer of oropharynx or hypopharynx; The larynx is part of the throat found at the entrance of the windpipe (trachea). An overview of laryngeal cancer including anatomy, pathophysiology, clinical features, investigations, management and prognosis. How is throat (laryngeal) cancer diagnosed and assessed? Laryngeal or larynx cancer is one of the type of cancers that can metastasize and at which stage can't be cured anymore. Cancer is a disease in which cells in the body grow out of control. When a biopsy revealed laryngeal cancer, jose flew across the country from arizona to new york for radiation therapy at memorial sloan kettering. Find out how this condition affects us, and learn. It's one of the most common types of head and neck cancers, affecting about 13,430 adults in the u.s. It's a tube about 2 inches (5cm) long in adults. What are causes and symptoms of larynx cancer. Limited to larynx with vocal cord fixation and/or invasion of any of the following
Penting diketahui nih sebelum melihat contoh surat hibah tanah! Contoh permohonan surat keterangan ketidak tersediaan air bersih / air minum ke pdam & surat kuasa :. Contoh Surat Hibah Kendaraan Mobil - Contoh Surat from lh5.googleusercontent.com Penting diketahui nih sebelum melihat contoh surat hibah tanah! Contoh permohonan surat keterangan ketidak tersediaan air bersih / air minum ke pdam & surat kuasa :. Penting diketahui nih sebelum melihat contoh surat hibah tanah! Contoh permohonan surat keterangan ketidak tersediaan air bersih / air minum ke pdam & surat kuasa :. Penting diketahui nih sebelum melihat contoh surat hibah tanah! Penting diketahui nih sebelum melihat contoh surat hibah tanah! Contoh permohonan surat keterangan ketidak tersediaan air bersih / air minum ke pdam & s...
Cancer Star Sign Bollywood Celebrities - List of Famous Indian Celebrities Suffering (or Suffered ... / Read this article to know more about personality traits and characteristic features of » famous cancer women. . They may seem like they are always happy and cancer people are intuitive and great judges of character, and they make decisions based on their gut feelings. If you're ever in trouble, always turn to a cancer. This famous cancer list includes some. This sign has a confusing personality and loves getting flirty or sometimes quirky. Cancers are known for being extra mushy and sensitive, which, let's be real, are kiiind of great traits. No star sign is more loyal than cancer, they would die for love (and kill for hate. Sir john hurt, legendary british actor who starred in alien, harry potter and midnight. Many celebrities have had this serious disease. Cancer men are least bothered about latest trends and are mostly seen in bright, peppy color tees a...
How To Make Free Business Cards - Https Encrypted Tbn0 Gstatic Com Images Q Tbn And9gcrndtrewke6kv0wlergb7ztwytpigzla4z0jchkvbnv5ggxrhce Usqp Cau : A variety of free psd business card templates can be found here. . Get a crash course in small business branding with our. Double click or select the text to change its style, size or font. Please choose the ones who speak your brand the most and would get you the best results in beautiful and stylish business card that is made by a great designer. Make a great first impression by creating a unique business card design in canva. You can design free business card using canva. How to brand your business. It's a print ready, ready to use psd template that empower you to make a. Make your own personalized business card today with our free business card maker. Make your own business card free. How does it make you feel? Moo Business Card Templa...
Komentar
Posting Komentar